Skip to content Skip to sidebar Skip to footer

What Is Airspace Disease In Lungs

Alveolar Airspace Lung Disease Acute Chronic And Ground

Alveolar Airspace Lung Disease Acute Chronic And Ground

What is airspace disease in lungs. It is one of the many patterns of lung opacification and is equivalent to the pathological diagnosis of. Low attenuation regions are abnormal and reflect decreased perfusion of the poorly ventilated regions eg. Ground-glass opacification is a relatively common sign of airspace disease.

Historically the term acinar. Airspace disease can be acute or chronic and commonly present as consolidation or ground-glass opacity on chest imaging. In here pneumothorax occurs as a secondary condition.

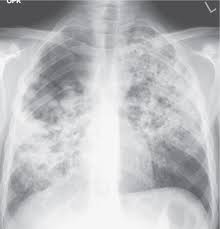
Airspace disease is considered chronic when it persists beyond 4-6 weeks after treatment. These fluffy opacities tend to be confluent meaning they blend into one another with imperceptible margins. Consolidation or ground-glass opacity occurs when alveolar air is replaced by fluid pus blood cells or other material.

Low attenuation regions are abnormal and. Bibasilar airspace disease also known as alveolar lung disease is a condition of the lungs in which the air spaces are swollen and contain fluid. Occlusive vascular disease can be termed a mosaic perfusion pattern in this setting 7.

Bronchiectasis cystic fibrosis constrictive bronchiolitis. Chronic Obstructive Pulmonary Disease. Airspace disease can be acute or chronic and commonly present as consolidation or ground-glass opacity on chest imaging.

Some examples of COPD include asthma bronchitis and emphysema. It is by far the most common reason of the presence of air in lungs. On plain radiography ground-glass.

Learn what to expect if your doctor tells you that you have one of the four main types of cystic lung disease a condition that causes cysts to grow in your lungs. Atelectasis is a lung condition that happens when your airways or the tiny sacs at the end of them dont expand the way they should when you breathe.

Airspace Disease Springerlink

Airspace Disease Springerlink

Chest X Ray Showing Diffuse Bilateral Airspace Disease With Right Sided Download Scientific Diagram

Chest X Ray Showing Diffuse Bilateral Airspace Disease With Right Sided Download Scientific Diagram

Airspace Diseases Radiology Key

Airspace Diseases Radiology Key

Recognizing Airspace Dz 2012

Recognizing Airspace Dz 2012

Chronic Airspace Diseases Sciencedirect

Chronic Airspace Diseases Sciencedirect

Recognizing Airspace Versus Interstitial Lung Disease Radiology Key

Recognizing Airspace Versus Interstitial Lung Disease Radiology Key

18 Airspace Diseases Dr Muhammad Bin Zulfiqar

18 Airspace Diseases Dr Muhammad Bin Zulfiqar

Air Space Opacification Radiology Reference Article Radiopaedia Org

Air Space Opacification Radiology Reference Article Radiopaedia Org

Chest X Ray On Admission A Revealed Extensive Bilateral Airspace Download Scientific Diagram

Chest X Ray On Admission A Revealed Extensive Bilateral Airspace Download Scientific Diagram

Http Website60s Com Upload Files Chronic Airspace Diseases 2019 Seminars In Ultrasound Ct And Mri Pdf

Http Website60s Com Upload Files Chronic Airspace Diseases 2019 Seminars In Ultrasound Ct And Mri Pdf

Recognizing Airspace Versus Interstitial Lung Disease Radiology Key

Recognizing Airspace Versus Interstitial Lung Disease Radiology Key

18 Airspace Diseases Dr Muhammad Bin Zulfiqar

18 Airspace Diseases Dr Muhammad Bin Zulfiqar

Chest Radiograph Chest X Ray Showing Bilateral Airspace Disease Download Scientific Diagram

Chest Radiograph Chest X Ray Showing Bilateral Airspace Disease Download Scientific Diagram

Asymmetrical Distribution Of Airspace Opacification In A Patient With Pulmonary Oedema There Is Patchy Opacification In The Right Lung Wi Oedema Lunges Thorax

Asymmetrical Distribution Of Airspace Opacification In A Patient With Pulmonary Oedema There Is Patchy Opacification In The Right Lung Wi Oedema Lunges Thorax

Alveolar Airspace Lung Disease Acute Chronic And Ground Glass Consolidation Opacification Jacques Le Roux 03 02 Ppt Video Online Download

Alveolar Airspace Lung Disease Acute Chronic And Ground Glass Consolidation Opacification Jacques Le Roux 03 02 Ppt Video Online Download

18 Airspace Diseases Dr Muhammad Bin Zulfiqar

18 Airspace Diseases Dr Muhammad Bin Zulfiqar

Chest Radiograph Showed Left Sided Patchy Airspace Disease With Download Scientific Diagram

Chest Radiograph Showed Left Sided Patchy Airspace Disease With Download Scientific Diagram

Air Space Opacification Radiology Reference Article Radiopaedia Org

Air Space Opacification Radiology Reference Article Radiopaedia Org

Diving Deep Pulmonary Barotrauma In A Free Diver Brown Emergency Medicine

Diving Deep Pulmonary Barotrauma In A Free Diver Brown Emergency Medicine

Recognizing Airspace Dz 2012

Recognizing Airspace Dz 2012

18 Airspace Diseases Dr Muhammad Bin Zulfiqar

18 Airspace Diseases Dr Muhammad Bin Zulfiqar

Chronic Airspace Diseases Sciencedirect

Chronic Airspace Diseases Sciencedirect

Alveolar Airspace Lung Disease Acute Chronic And Ground

Alveolar Airspace Lung Disease Acute Chronic And Ground

Https Encrypted Tbn0 Gstatic Com Images Q Tbn And9gcqnvm3zlkgdzb2bsnt1cyl1a Tkeegf Ie0unitga7cn0ww4wd9 Usqp Cau

Https Encrypted Tbn0 Gstatic Com Images Q Tbn And9gcqnvm3zlkgdzb2bsnt1cyl1a Tkeegf Ie0unitga7cn0ww4wd9 Usqp Cau

Lung Parenchyma Page 2 Toronto Notes

Lung Parenchyma Page 2 Toronto Notes

Chest Radiograph Illustrating Diffuse Bilateral Airspace Opacities Download Scientific Diagram

Chest Radiograph Illustrating Diffuse Bilateral Airspace Opacities Download Scientific Diagram

Alveolar Airspace Lung Disease Acute Chronic And Ground Glass Consolidation Opacification Jacques Le Roux 03 02 Ppt Video Online Download

Alveolar Airspace Lung Disease Acute Chronic And Ground Glass Consolidation Opacification Jacques Le Roux 03 02 Ppt Video Online Download

Acute Bilateral Airspace Opacification Differential Radiology Reference Article Radiopaedia Org

Acute Bilateral Airspace Opacification Differential Radiology Reference Article Radiopaedia Org

Alveolar Airspace Lung Disease Acute Chronic And Ground

Alveolar Airspace Lung Disease Acute Chronic And Ground

A X Ray Chest Frontal Projection Bilateral Perihilar Airspace Download Scientific Diagram

A X Ray Chest Frontal Projection Bilateral Perihilar Airspace Download Scientific Diagram

18 Airspace Diseases Dr Muhammad Bin Zulfiqar

18 Airspace Diseases Dr Muhammad Bin Zulfiqar

Back To Basics Radiology Ppt Video Online Download

Back To Basics Radiology Ppt Video Online Download

Bulla Formation And Tension Pneumothorax In A Patient With Covid 19 In The American Journal Of Tropical Medicine And Hygiene Volume 103 Issue 3 2020

Bulla Formation And Tension Pneumothorax In A Patient With Covid 19 In The American Journal Of Tropical Medicine And Hygiene Volume 103 Issue 3 2020

View Image

View Image

Alveolar Airspace Lung Disease Acute Chronic And Ground

Alveolar Airspace Lung Disease Acute Chronic And Ground

Diagnostic Approach To The Patient With Diffuse Lung Disease Mayo Clinic Proceedings

Diagnostic Approach To The Patient With Diffuse Lung Disease Mayo Clinic Proceedings

Chronic Airspace Disease Review Of The Causes And Key Computed Tomography Findings

Chronic Airspace Disease Review Of The Causes And Key Computed Tomography Findings

A Man In His 20s With Diffuse Lung Opacities And Acute Respiratory Failure After Hookah Smoking Chest

A Man In His 20s With Diffuse Lung Opacities And Acute Respiratory Failure After Hookah Smoking Chest

Initial Chest Radiograph Increasing Areas Of Confluent Airspace Download Scientific Diagram

Initial Chest Radiograph Increasing Areas Of Confluent Airspace Download Scientific Diagram

Fundamental Radiological Findings Hazy Opacities Stepwards

Fundamental Radiological Findings Hazy Opacities Stepwards

Upper Lung Disease Infection And Immunity Radiology Key

Upper Lung Disease Infection And Immunity Radiology Key

How Does Covid 19 Appear In The Lungs Imaging Technology News

How Does Covid 19 Appear In The Lungs Imaging Technology News

Chronic Airspace Disease Review Of The Causes And Key Computed Tomography Findings

Chronic Airspace Disease Review Of The Causes And Key Computed Tomography Findings

Recognizing Airspace Dz 2012

Recognizing Airspace Dz 2012

Diving Deep Pulmonary Barotrauma In A Free Diver Brown Emergency Medicine

Diving Deep Pulmonary Barotrauma In A Free Diver Brown Emergency Medicine

In Situ Detection Of Sars Cov 2 In Lungs And Airways Of Patients With Covid 19 Modern Pathology

In Situ Detection Of Sars Cov 2 In Lungs And Airways Of Patients With Covid 19 Modern Pathology

5 Interstitial Vs Airspace Disease Lung Medical Specialties

5 Interstitial Vs Airspace Disease Lung Medical Specialties

Peripheral Lung Disease Chest Radiology The Essentials 2nd Edition

Peripheral Lung Disease Chest Radiology The Essentials 2nd Edition

3

3

Low attenuation regions are abnormal and reflect decreased perfusion of the poorly ventilated regions eg.

Airspace disease can be acute or chronic and commonly present as consolidation or ground-glass opacity on chest imaging. Interstitial lung disease is an umbrella term that includes many different conditions. Occlusive vascular disease can be termed a mosaic perfusion pattern in this setting 7. The opacified acini become confluent producing a fluffy homogeneous radiographic pattern characteristic of airspace disease as seen in Fig. It is typically defined as an area of hazy opacification x-ray or increased attenuation CT due to air displacement by fluid airway collapse fibrosis or a neoplastic process. Some examples of COPD include asthma bronchitis and emphysema. Airspace disease can be acute or chronic and commonly present as consolidation or ground-glass opacity on chest imaging. It is by far the most common reason of the presence of air in lungs. Bronchiectasis cystic fibrosis constrictive bronchiolitis.


Less common causes include bleeding or protein secretions within the lungs. In here pneumothorax occurs as a secondary condition. Chronic Obstructive Pulmonary Disease. Diagnosed with patchy airspace disease in my left lung also moderate to Patchy airspace disease in the right What treatments are there for this and is it a life-threatening disease if so what is the lifespan thank you so very much Tamsey Laura fields. Interstitial lung disease is an umbrella term that includes many different conditions. Some examples of COPD include asthma bronchitis and emphysema. It is one of the many patterns of lung opacification and is equivalent to the pathological diagnosis of.

Post a Comment for "What Is Airspace Disease In Lungs"